Imágenes: Rayos X del brazo de Antonio Nogueira - Camino a Los Ángeles

Anuncio
11-12-2011
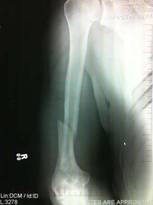
Vía Twitter, UFC ha publicado la imagen que vemos arriba en pantalla en donde se aprecia una Radiografía del brazo (codo) del peleador brasileño Antonio «Minotauro» Nogueira luego de sufrir una luxación tras una Kimura aplicada por Frank Mir ayer sábado 10 de diciembre de 2011 durante el evento UFC 140: Jones vs. Machida. Tambía
Rayos X del brazo de Antonio Nogueira tras ser roto por una Kimura por parte de Frank Mir en UFC 140 (10.12.11) / Twitter.com/UFC

Vía Twitter, UFC ha publicado la imagen que vemos arriba en pantalla en donde se aprecia una Radiografía del brazo (codo) del peleador brasileño Antonio «Minotauro» Nogueira luego de sufrir una luxación tras una Kimura aplicada por Frank Mir ayer sábado 10 de diciembre de 2011 durante el evento UFC 140: Jones vs. Machida.

Tambía vía Twitter, el Presidente de la compañía Dana White ha publicado la siguiente imagen en donde Antonio se dirigía a Los Ángeles, California, para ser intervenido quirúrgicamente:

Antonio Nogueira rumbo a Los Ángeles para ser operado del brazo roto por una Kimura aplicada por Frank Mir en UFC 140 (10.12.11) / Twitter.com/DanaWhite
Anuncio

Sigue leyendo